Health Library

Our Health Library information does not replace the advice of a doctor. Please be advised that this information is made available to assist our patients to learn more about their health. Our providers may not see and/or treat all topics found herein.

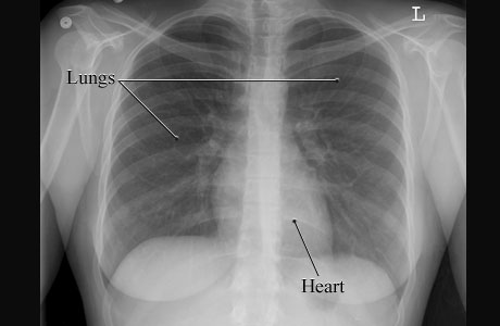
X-Ray of a Normal Chest

Image of a normal chest

Courtesy of Intermountain Medical Imaging, Boise, Idaho.

This is a picture of a normal chest X-ray of a woman showing the air-filled spaces of the lungs and the more solid gray shape of the heart. The lungs and heart are normal in size and shape.

Current as of: March 26, 2025

Author: Ignite Healthwise, LLC Staff
Clinical Review Board
All Ignite Healthwise, LLC education is reviewed by a team that includes physicians, nurses, advanced practitioners, registered dieticians, and other healthcare professionals.

Current as of: March 26, 2025

Author: Ignite Healthwise, LLC Staff

Clinical Review Board
All Ignite Healthwise, LLC education is reviewed by a team that includes physicians, nurses, advanced practitioners, registered dieticians, and other healthcare professionals.

Urology Conditions

Call

Request Appointment

Facebook